Dental health is a critical aspect of overall well-being, often overlooked in the hustle of daily life. Neglecting oral care can lead to a myriad of problems, ranging from gum disease and tooth decay to more serious systemic health issues. Understanding these consequences is vital for promoting a proactive approach to dental hygiene. This post delves into the various negative outcomes of poor dental health, emphasizing the importance of regular dental check-ups and proper oral hygiene practices.
Gum Disease

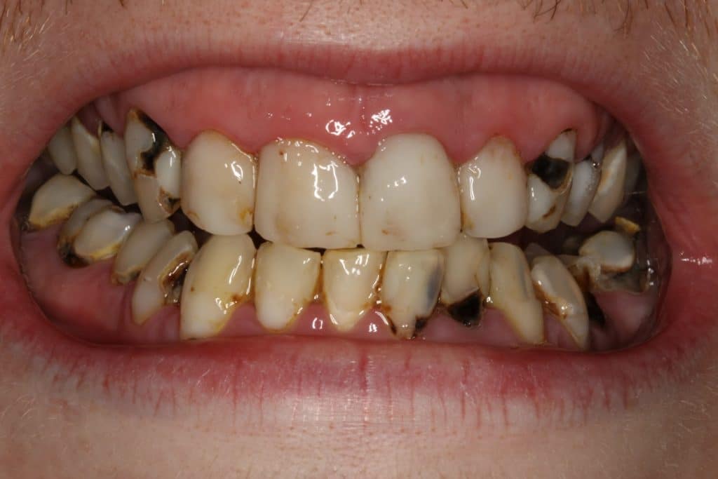
Gum disease, also known as periodontal disease, is a common result of poor dental hygiene. It begins as gingivitis, marked by red, swollen gums that bleed easily. If left untreated, it progresses to periodontitis, where gums pull away from the teeth, forming pockets susceptible to infection. This stage can lead to tooth loss and has been linked to other health issues such as heart disease and stroke. Regular brushing and flossing, along with professional dental cleanings, are essential in preventing gum disease.
The impact of gum disease extends beyond the mouth. Research has established connections between chronic gum disease and various systemic health problems, including respiratory disease, diabetes, and complications during pregnancy. This highlights the importance of considering oral health as an integral part of overall health care. Educating the public about the signs and risks of gum disease, alongside promoting effective preventative measures, is crucial for maintaining both oral and general health.
Tooth Decay

Tooth decay is a prevalent issue caused by the breakdown of tooth enamel due to acids produced by bacteria in plaque. This process often results in cavities, which, if untreated, can lead to severe toothache, infection, and even tooth loss. Factors contributing to tooth decay include poor oral hygiene, frequent snacking, and consuming sugary drinks. Preventative measures, such as regular brushing with fluoride toothpaste and reducing sugar intake, are key to avoiding decay.
Advanced tooth decay can have far-reaching consequences. It may necessitate complex dental procedures, such as root canals or extractions, and can significantly affect a person’s ability to chew and speak properly. Moreover, the appearance of decayed teeth can impact self-esteem and social interactions, underscoring the importance of early intervention and consistent oral care practices to preserve dental health.
Bad Breath

Bad breath, medically known as halitosis, is often a direct consequence of neglected dental health. It can be caused by the lingering food particles in the mouth, the breakdown of which by bacteria produces an unpleasant odor. Poor oral hygiene that allows plaque to build up, dry mouth, and tobacco use are common contributors. Bad breath not only affects oral health but also carries social and psychological implications, making effective communication and social interactions challenging.
Chronic bad breath can also be indicative of underlying dental conditions like gum disease or tooth decay. Regular dental checkups can help in identifying and treating these conditions early on. In addition to professional care, maintaining a routine of thorough brushing and flossing, along with using mouthwash, can significantly reduce the incidence of bad breath. It’s also beneficial to stay hydrated and avoid foods known to cause bad breath.